games

Kamis, 16 Januari 2014

serba serbi pasien

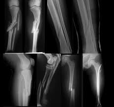
pada pemeriksaan di radiologi tidak semua pasien yang datang untuk foto rontgen dalam ke adaan yang umum atau 'normal' 'terkadang kita dihadapkan dengan situasi dengan pasien yang tidak biasa atau 'tidak normal' tetapi disinilah salah satu tantangan dalam menghadapinya , mungkin ini beberapa contoh kasus yang tidak biasanya..
let's cekidottt ,

Tidak ada komentar:

Posting Komentar